Πολλές φορές έρχονται ασθενείς με διάγνωση σε επιγονατιδομηριαίο πόνο, Patella alta. Τι είναι όμως ο όρος αυτός; Είναι πάντα σημαντικός στην παθολογία του ασθενούς κι αν ναι πότε;
Τι είναι
Ως patella alta (λατινικός όρος που σημαίνει υψηλή θέση επιγονατίδας) αναφερόμαστε σε επιγονατίδα η οποία βρίσκεται πιο ψηλά από το φυσιολογικό, σε σχέση με το μηριαίο οστό. Λόγω της υψηλότερης θέσης χάνει τη μηχανική σταθερότητα καθώς έρχεται σε λιγότερη επαφή με τη μηριαία τροχιλία, με αποτέλεσμα να υπάρχει μεγαλύτερη προδιάθεση αστάθειας αλλά και πόνo.
Ανά τα χρόνια, παρατηρήθηκε πως η ύπαρξή της συνυπάρχει στο 30% των εξαρθρημάτων γόνατων καθ’έξιν, καθώς και σε άλλες παθολογίες όπως οστεοαρθρίτιδα, Osgood-Schlatter disease, Sinding-Larsen-Johansson
disease κα. Ωστόσο όμως πολλές φορές αποτελεί τυχαίο εύρημα σε άλλες παθολογίες, ενώ η ύπαρξή της δεν αποτελεί σημείο αστάθειας αν δεν συνυπάρχουν και άλλοι παράγοντες (βάθος αύλακας τροχιλίας, μέγεθος επιγονατίδας κα)
Πως αξιολογείται
Από το παρελθόν έχουν γίνει διάφορες προσπάθειες να εκτιμηθεί, όσο το δυνατόν πιο αξιόπιστα, η θέση της επιγονατίδας. Συνήθως χρησιμοποιούνται ακτινολογικά κριτήρια (xray, mr

Οι δείκτες Insall-Salvati index και Caton-Deschamps index
i) αλλά και κλινικά τεστ λιγότερο όμως αξιόπιστα. Ακτινολογικά η ακτινογραφία προτιμάται να είναι σε μικρή κάμψη περίπου 10-20ο. Χρησιμοποιείται η μέτρηση μήκους επιγονατίδας και επιγονατιδικού τένοντα (insall-salvati index) ή η μέτρηση του μήκους της αρθρική επιφάνειας της επιγονατίδας από την κνήμη (Caton-Deschamps index). Ωστόσο όμως επειδή οι μέθοδοι αυτές είναι έμμεσες, ως προς την άρθρωση επιγονατίδας με το μηρό, έχουν το μειονέκτημα να μην περιγράφουν την πραγματική επαφή χόνδρων, αλλά σε ανατομικές διαφορές θα υπάρχει σφάλμα στη μέτρηση. Για το λόγο αυτό προτιμάται η μαγνητική τομογραφία και η μετρ

Patellotrochlear index
ηση του επιγονατιδοτροχιλιακόυ δείκτη (Patellotrochlear index) όπου φαίνεται η πραγματική επαφή χόνδρων.

Ένω φαινομενικά φαίνεται ίδιο, υπάρχει διαφορετικό Patellotrochlear index
Αντιμετώπιση
H αντιμετώπιση της παρέκκλισης αυτής γίνεται, αν αποδειχτεί ότι η θέση της επιγονατίδας επηρεάζει την παθολογία. Μπορεί να γίνει αρχικά συντηρητική θεραπεία από τον φυσικοθεραπευτή, ο οποίος θα προσπαθήσει με manual therapy να βελτιώσει την ολίσθηση της επιγονατίδας, με υλικά περίδεσης να σταθεροποιήσει την επιγονατίδα, μέχρι να λειτουργήσει ένα κατάλληλο πρόγραμμα ενδυνάμωσης του γόνατος και του ισχίου, καθώς και βελτίωση του κινητικού ελέγχου.
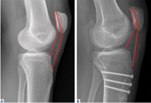
Αν αποτύχει η συντηρητική θεραπεία τότε μπορεί να αντιμετωπιστεί η υψηλή θέση της επιγονατίδας ή αν ο χειρουργός κρίνει απαραίτητο να επαναξιολογηθεί το συνδεσμικό περιβάλλον των έσω καθεκτικών συνδέσμων. Οι πιο γνωστές επεμβάσεις που χρησιμοποιούνται είναι η οστεοτομία του κνημιαίου ογκώματος και η συνδεσμοπλαστική των έσω καθεκτικών της επιγονατίδας.



